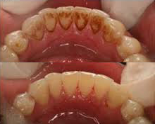
Zubni plak čine mekane i ljepljive naslage na zubima koje se sastoje od ostataka hrane i bakterija, a stvaraju se već nekoliko sati poslije pranja zubi. Nakon nekog vremena, taloženjem minerala iz sline u zubni plak, dolazi do stvaranja tvrdih mineraliziranih naslaga na zubima – zubnog kamenca.
Budući da zubni kamenac sadrži bakterije, on dovodi do nastajanja zubnog karijesa i oboljenja potpornog tkiva zubi (parodonta), te do posljedičnog gubitka zubi. Kako bi se spriječio nastanak zubnog kamenca, potrebno je održavati redovitu higijenu usne šupljine, što podrazumijeva uklanjanje zubnog plaka. Međutim, ako se zubni kamenac već formirao na zubima, teško ga je ukloniti zubnom četkicom, pa je njegovo uklanjanje potrebno izvršiti u ordinaciji dentalne medicine.
Uklanjanje zubnog kamenca jednostavan je postupak za koji je dovoljan jedan posjet ordinaciji. Međutim, pojedini pacijenti čak i uz pravilnu higijenu usne šupljine mogu posjedovati sklonost nakupljanju kamenca, s obzirom na to da postoje i drugi čimbenici koji utječu na njegovo stvaranje, kao što su, naprimjer, slina pacijenta, ortodontske anomalije (otežano čišćenje zbog promjena položaja zubi), genetska predispozicija, neadekvatni ispuni i protetski radovi.
Iz tih razloga, a i da bi se spriječio nastanak karijesa, očuvalo potporno tkivo zubi, te spriječio gubitak zubi, svim se pacijentima preporučuje čišćenje zubnog kamenca 2 puta godišnje.
Pjeskarenje zubi izvodi se uz pomoć aparata koji pod tlakom izbacuje sitna mikroabrazivna zrnca pijeska raspršena u vodi, te na taj način uspješno ukljanja nakupine mekih naslaga i pigmenata sa zubi, vraćajući zubima njihovu prirodnu boju i sjaj. Postupak pjeskarenja potpuno je bezbolan, a prahu je dodan korigens koji pacijentima osigurava ugodan okus.

Kiretaža je terapijski postupak kojim se uklanja plak i zubni kamenac bogat bakterijama te upalom promijenjeno tkivo sa zuba ispod površine zubnog mesa, a sve u cilju očuvanja zdravlja potpornog tkiva zuba (parodonta) i sprječavanja gubitka zubi. Postupak se izvodi pod lokalnom anestezijom, a obuhvaća struganje i poliranje zubnog korijena.
Privatna ordinacija dentalne medicine
Dr. sc. Kruna Valter, dr. med. dent.
Kutnjački put 12, 2. kat, Vrbani III, Zagreb
+385 1 3872 030
+385 91 2014 301
ponedjeljak, utorak, četvrtak 13:00 - 20:00 h
srijeda, petak 09:00 - 16:00 h