Privatna ordinacija dentalne medicine

estetska dentalna medicina

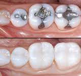
Estetski ispuni (plombe)

  • estetski kompozitni ispuni visoke kvalitete

Kompozitni ispuni (bijele plombe) su estetski nadomjesci za trajnu restauraciju zubi koji u potpunosti oponašaju oblik i boju prirodnog zuba. Koriste se za estetsko i funkcijsko obnavljanje karijesom ili traumom oštećenog zuba, za zamjenu starih i oštećenih amalgamskih (sivih, metalnih) ispuna, te za korekciju manjih estetskih nedostataka zubi (veličina, oblik, boja). Izrađuju se pod lokalnom anestezijom direktno na zubu tijekom jednog posjeta doktoru dentalne medicine. Prednost kompozitnih ispuna je to što zahtijevaju minimalno invazivnu preparaciju zuba čime se čuva zdravo zubno tkivo, te mikromehaničko i kemijsko svezivanje za zub uz pomoć adheziva (lijepila) što pridonosi čvršćoj i postojanijoj vezi ispuna i zuba.


  • kompozitni i keramički (porculanski) inlay i onlay

Inlay i onlay su indirektni protetski nadomjesci (ispuni) kojima se rekonstruiraju zubi oštećeni karijesom ili traumom. Izrađuju se od kompozitnog materijala ili keramike (porculana) u dentalnom laboratoriju na temelju otiska zuba, a zatim se trajno cementiraju na zub. Razlika između inlaya i onlaya isključivo je u veličini pa se tako s inlayom nadomješta središnji dio zuba, dok se s onlayom nadomješta veće oštećenje zubne krune koje uključuje i kvržice zuba. Njihova se izrada preporučuje u slučaju zuba s većim oštećenjem zubne krune kod kojih više nije moguće izraditi klasičan ispun (plombu) izravno na zubu, a oštećenje još uvijek nije toliko veliko da zahtijeva laboratorijsku izradu krunice. Prednost ovakvih ispuna je maksimalno čuvanje zubnog tkiva, čvrstoća, dugotrajnost te bolje estetsko rješenje radi postojanosti boje protetskog nadomjestka.


Radno vrijeme

  • ponedjeljak, utorak, četvrtak 13:00 - 20:00 h
  • srijeda, petak 09:00 - 16:00 h

Načini plaćanja

  • gotovinsko plaćanje
  • bankovne kartice

Adresa

Privatna ordinacija dentalne medicine

Dr. sc. Kruna Valter, dr. med. dent.

Kutnjački put 12, 2. kat, Vrbani III, Zagreb

+385 1 3872 030

+385 91 2014 301

kruna.valter@gmail.com

ponedjeljak, utorak, četvrtak 13:00 - 20:00 h

srijeda, petak 09:00 - 16:00 h