Privatna ordinacija dentalne medicine

endodoncija

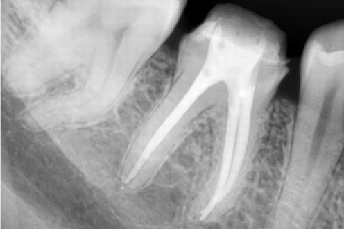
Endodoncija

  • liječenje korijenskih kanala zubi

Endodoncija je terapijski postupak u dentalnoj medicini koji podrazumijeva liječenje upale zubne pulpe (zubnog živca) unutar korijenskih kanala zuba nastalu djelovanjem bakterija uslijed uznapredovalog karijesa. Terapijski postupak koji se izvodi pod lokalnom anestezijom sastoji se od uklanjanja inficirane zubne pulpe iz korijenskih kanala zuba, njihova čišćenja i dezinficiranja te punjenja biokompatibilnim materijalima namijenjenima za tu svrhu. Poslije završene terapije na zub se stavlja ispun (plomba), a ako je zubna kruna jače oštećena, moguća je nadogradnja i krunica. Cilj endodontskog liječenja zuba je sprječavanje širenja upale iz korijenskog kanala na kost oko korijena zuba te očuvanje zuba u usnoj šupljini.


  • revizija punjenja korijenskih kanala

Revizija punjenja korijenskih kanala podrazumijeva uklanjanje postojećeg punjenja iz korijenskog kanala, ponovno čišćenje, dezinfekciju te ponovno punjenje korijenskog kanala zbog razvoja upale (granuloma) u području kosti oko samoga korijena. Takva upala najčešće nastaje zbog neadekvatnog prethodnog čišćenja i punjenja korijenskog kanala ili zbog dugotrajne prisutnosti neliječene upale zubnog živca u korijenskom kanalu. Prisutnost takve upale može biti praćena bolovima u zubu (najčešće na zagriz) i postojanjem fistule (prištića) na sluznici usne šupljine u području vrha korijena zuba. Međutim, često takva upala koja se razvija godinama nije praćena nikakvim simptomima ili je slučajan nalaz na ortopan snimci. Ponovljenim liječenjem nastoji se smanjiti broj bakterija u korijenskom kanalu koje su uzročnici takve upale te se potpunim brtvljenjem korijenskih kanala i stavljanjem ispuna sprječava daljnji ulazak bakterija iz usne šupljine kroz korijenski kanal u kost čime se omogućava organizmu da sam izliječi nastalu upalu.


Radno vrijeme

  • ponedjeljak, utorak, četvrtak 13:00 - 20:00 h
  • srijeda, petak 09:00 - 16:00 h

Načini plaćanja

  • gotovinsko plaćanje
  • bankovne kartice

Adresa

Privatna ordinacija dentalne medicine

Dr. sc. Kruna Valter, dr. med. dent.

Kutnjački put 12, 2. kat, Vrbani III, Zagreb

+385 1 3872 030

+385 91 2014 301

kruna.valter@gmail.com

ponedjeljak, utorak, četvrtak 13:00 - 20:00 h

srijeda, petak 09:00 - 16:00 h